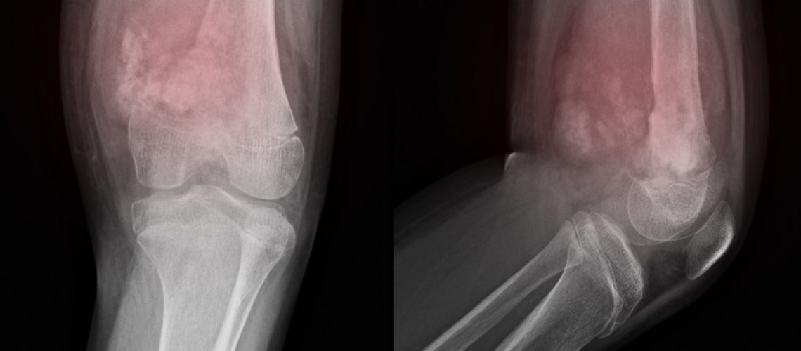
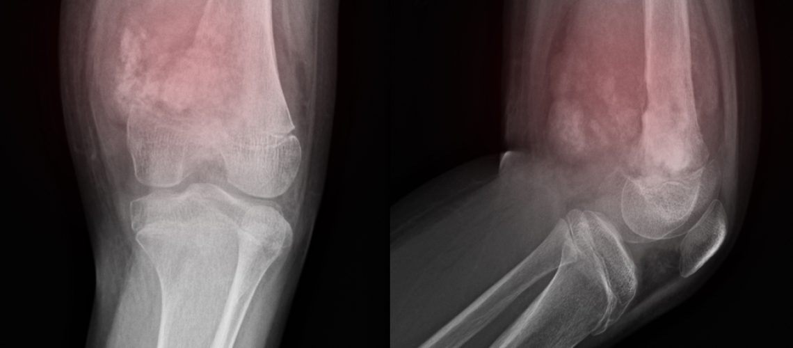
Osteossarcoma é um tipo de tumor que surge inicialmente nas células dos ossos. Ele pode começar em qualquer osso do corpo, mas é muito mais recorrente nos seguintes:
- osso superior do braço, na região próxima ao ombro;
- fêmur, nas proximidades do joelho;
- tíbia, também próximo ao joelho.
Cirurgia para osteossarcoma
A cirurgia é uma etapa fundamental para o tratamento desse tipo de câncer. Ela é recomendada para quase que todas as situações. Suas fases incluem:- realizar biopsia com o intuito de fazer o diagnóstico do câncer;
- promover o tratamento cirúrgico para a remoção do tumor.